Introduction
Neurological symptoms are not infrequent after massive stings of Hymenoptera insects, namely bees, wasps and hornets. In such cases, a large cumulative dose of vasoactive, proinflammatory venom components, such as polypeptides, enzymes, amines, lipids and amino acids, triggers a toxic reaction [1]. Very rare, however, are neurological symptoms following a single field sting, up to just a few venom stings, involving the mechanism of immunoglobu- lin E (IgE)-dependent hypersensitivity. A proper assessment of the mechanism of the reaction based on proving the presence of sIgE against venom extract or venom components allows one to diagnose allergy against Hymenoptera venom and qualify the patient for venom immunotherapy (VIT). Venom immunotherapy is the only symptomatic treatment that provides 90-100% protection against life-threatening allergic symptoms from subsequent stings [2].
The authors report two cases of young men who developed an ischemic stroke after being stung by a wasp and present the diagnostic procedures as well as the treatment they received.
Cases report
Case 1
A 40-year-old man with no prior medical record was stung by a single wasp in the occipital region of the head. After a few seconds he lost consciousness, required resuscitation and was transferred to an intensive care unit. He was intubated and mechanically ventilated for about 20 hours. His neurological examination revealed stiff neck, facial muscles’ dyskinesia, aphasia, right upper motor neuron type facial nerve palsy, right hemiparesis with a power 3/5, right hyperreflexia and extensor plantar response; moreover, the frontal syndrome and the extrapyramidal syndrome with rigidity and rest tremor of the right hand were present. His head computed tomography (CT) revealed edema of the left parietooccipital region with petechial hemorrhage, edema of both temporal lobes, loss of gray and white matter differentiation, and hypodensity within the basal ganglia bilaterally (area of the head of the caudate nucleus and putamen). Electroencephalography showed diffuse slow wave activity which was more marked over the left frontal and parietal regions. His blood glucose, renal, liver and thyroid function tests were normal. There was no blood clotting disorder, heart disease or connective tissue disease.
The patient improved gradually. The follow-up CT showed neither brain swelling nor petechial hemorrhagic transformation; there were hypodense foci in the caudate and lenticular nuclei and the paraventricular white matter. Later he was transferred to a rehabilitation facility. He also required treatment with a speech therapist and a psychologist. On examination, there persisted right hemiparesis, mild aphasia, apraxia and low cognitive dysfunction. Eight months after the vascular event, his skin tests to wasp venom were negative. His blood revealed the presence of specific IgE antibodies against wasp venom (1.91 KU/ml), while the serum tryptase level was normal (sBt < 11.4 ng/ml). Allergy to wasp venom was diagnosed. The patient was qualified for wasp venom immunotherapy using an ultra-rush protocol (wasp venom Alutard, Alk Abello; wasp venom cumulative dose 11.1 mcg). Immunotherapy was continued for 5 years without allergic side effects. Both during the course of VIT and 4 years after its completion (follow-up visit) the patient was not stung by Hymenoptera insects.
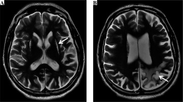
Nine years after the cerebral infarction, features of mild intellectual impairment were still present. The patient had trouble with reading and writing, and showed a slight memory dysfunction. The follow-up neurological examination revealed insignificant right hemiparesis. The brain magnetic resonance (MR) examination (Fig. 1) showed chronic hypoxic-ischemic lesions of the head and the body of the caudate nucleus and putamen bilaterally, further chronic ischemic changes within the cortex and subcortical white matter of the left parietal lobe with segmental cortical atrophy, as well as features of moderate subcortical and cortical atrophy of the brain.
Fig. 1
The brain magnetic resonance (MR) examination, axial T2-weighted images (A, B) show chronic hypoxic-ischemic lesions (arrow) of the head and the body of the caudate nucleus and putamen bilaterally (A), as well as chronic ischemic changes (arrow) within the cortex and subcortical white matter of the left parietal lobe with segmental cortical atrophy (B) as well as features of moderate subcortical and cortical atrophy of the brain

Case 2
A previously healthy 24-year-old man was stung by a few wasps on his face, left extremities and the left side of the abdominal wall. There was no history of previous wasp or insect stings. Immediately after the stings, urticaria developed on the skin of the trunk. After 20 minutes, he lost consciousness for about 30 seconds. He was admitted to a local hospital. His blood pressure was 90/60 and he had hypokalemia (3.3 mEq/l). He received calcium, potassium, antihistamines and steroids. Then he felt all right, reported no headache and his urticaria subsided. Twelve hours later, the patient noticed weakness of the left arm and leg, more pronounced in the lower limb. He could not walk. On examination, the patient was alert, had left hemiparesis with a power 4/5 and with Babinski sign positive. MR examination showed acute ischemic changes within the cortex of the postcentral gyrus and subcortical white matter of the right parietal lobe as well the right frontal lobe corresponding to border zone (watershed) infarcts. Carotid and vertebral Doppler was within normal limits. Cerebral CT angiography revealed normal flow in bilateral internal carotid and vertebral arteries, but there was a slight narrowing of the right posterior cerebral artery (right 1.4 mm, left 2.8 mm). His ECG, echocardiography and chest X-ray were normal. Diabetes mellitus, hypercoagulable states and diseases of internal organs were excluded. Serologic tests for antinuclear antibodies were negative. The lipid profile revealed elevated total cholesterol (256 mg/dl), triglyceri- des (193 mg/dl) and low-density lipoprotein (154 mg/dl); high-density lipoprotein was normal (63 mg/dl). His homocysteine level was also elevated – 18.87 (normal: 5.46-16.2 µmol/l). He showed improvement on follow-up. After a week he could walk.
A year after the stings, he was proven to have IgE anti-bodies to wasp (11.03 KU/l) venom. He underwent the induction phase of wasp venom immunotherapy (VIT) conducted according to ultra-rush protocol and 5 years of the maintenance phase without adverse side-effects.
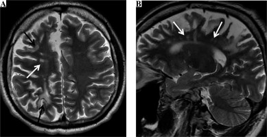
Two years after the cerebral vascular event resulting from wasp stings, the neurological examination of our patient revealed slight left hemiparesis with discrete spasticity of the lower limbs and with an extensor plantar response. The follow-up MR examination (Fig. 2) showed chronic external watershed ischemic lesions in the right hemisphere between the anterior and middle cerebral arteries and between the middle and posterior cerebral arteries. Moreover, there were chronic internal watershed lesions between the lenticulostriate and middle cerebral artery. Additionally, MR examination revealed moderate cortical and subcortical atrophy in this area.
Fig. 2
The brain magnetic resonance (MR) examination, axial (A) and sagittal (B) T2-weighted images reveal chronic external watershed ischemic lesions (black arrows) in the right hemisphere between the anterior and middle cerebral arteries and between the middle and posterior cerebral arteries (A). Moreover, there are chronic internal watershed lesions (white arrows) between the lenticulostriate and middle cerebral arteries

Five years after the completion of VIT, the patient was stung by a wasp. The reaction after the sting was asymptomatic.
Discussion
Neurological symptoms following a Hymenoptera sting are very rare. Most frequently, they manifest as a multi-symptomatic cerebrovascular accident; Parkinson’s symptoms have been reported twice [3-9, 15]. In most such cases, the symptoms are caused by multiple stings, much less frequently by a single sting, of a wasp, a honey bee, or an African bee. Neurological symptoms were reported to have occurred immediately after, a few days or even a few weeks after the sting [3-10]. Their varied scope may include: headache, vomiting, seizure disorder, aphasia, dysarthria, disorders of the optic chiasm, hemiparesis, and impaired consciousness. The symptoms may either recede thoroughly, leave some neurological defects or extremely rarely prove fatal [10]. Findings of MRI performed in the reported cases are varied. Most frequently cerebral ischemia is observed in the middle cerebral artery.
The mechanism of these reactions is not obvious. They are attributed to hypotension, secondary hypoperfusion in the course of IgE-dependent reactions, and release of mastocyte mediators. Vasoconstriction caused by vasoactive, pro-inflammatory peptides and amines that are ingredients of Hymenoptera venoms (including histamines, leukotrienes, and thromboxane) is considered as an alternative or complementary mechanism. The factors are reported to cause platelet aggregation, which is conducive to thrombosis, and thus also potentially to cerebral ischemia.
Two scenarios are presented in this article. The first of the above cases features isolated symptoms from the central nervous system that resulted from impaired cerebral circulation in the course of anaphylaxis complicated by a circulatory arrest. Ischemia of the central nervous system was, however, the only visible symptom of this allergy, since there were no typical anaphylactic symptoms from other organs: skin, the respiratory system, or the digestive system. Moreover, until the event the patient had tolerated Hymenoptera stings asymptomatically. In this situation, it was problematic to diagnose the patient as allergic to wasp venom and thus to have him undergo venom immunotherapy. On being admitted to an intensive care unit, he presented hemiparesis, transient extrapyramidal syndrome and frontal syndrome as well as cognitive dysfunction, from which he has partially recovered. These symptoms resulted from large areas of cerebral ischemia with the involvement of basal ganglia (probably) secondary to cardiorespiratory failure. In the available literature, extrapyramidal syndromes after stings usually have been reported in the course of acute encephalopathy with severe necrotic lesions in the basal ganglia [12-14]. Leopold et al. [15] described a patient whose condition progressed from mild parkinsonism immediately after a wasp sting to a severe akinetic–rigid syndrome associated with massive destruction of the basal ganglia bilaterally. Gale [16] only observed a patient with dystonia, in whom CT showed a border zone infarct.
The pathomechanisms of the neurological symptoms observed in the second patient are not obvious. He developed hemiparesis about 12 hours after the wasp sting. He previously experienced only slight hypotension with a loss of consciousness for a few seconds. Such symptoms are usually too insignificant to cause a stroke. However, an MR examination revealed border zone ischemic lesions in the right hemisphere. An ischemic stroke bordering on various areas of vascularity usually occurs in the course of hypotonia, possibly as a result of narrowing of the cerebral artery [17, 18]. On admission to hospital, the patient had low blood pressure. Since he had no atherosclerotic narrowing of the arteries, the stroke may have been caused by a vasospasm. In his case, a diagnosis of Hymenoptera venom allergy was not problematic as he manifested typical allergic skin symptoms. His case confirms the efficacy of venom immunotherapy instigated after stabilizing the patient’s condition. Considering the severity of the symptoms suffered by the patient after the sting, VIT is recommended to last for 5 years.